When cancer spreads from its original site to the brain, it forms what doctors call metastatic brain tumors. These are more common than primary brain tumors and often develop from cancers like lung, breast, or melanoma. The tricky part is that early symptoms can feel mild or easy to dismiss. Recognizing these signs early can make a meaningful difference in treatment and quality of life.
Let’s break down what to watch for and why paying attention matters.
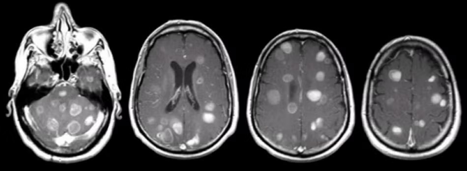
What Are Metastatic Brain Tumors?
Metastatic brain tumors occur when cancer cells travel through the bloodstream or lymphatic system and settle in the brain. Because the brain controls so many vital functions, even small changes can lead to noticeable symptoms.
Early detection does not always prevent progression, but it can open the door to more treatment options and better symptom control.
Common Early Symptoms to Watch For
1. Persistent Headaches
Not every headache is a cause for concern, but brain tumor related headaches tend to feel different. They may be more intense in the morning or worsen over time. Some people notice pressure that does not improve with usual medication.
If headaches become frequent or feel unusual compared to your typical pattern, it is worth paying attention.
2. Changes in Vision
Blurred vision, double vision, or even brief episodes of vision loss can be early signs. This happens when the tumor affects areas of the brain responsible for visual processing or increases pressure inside the skull.
These changes can come and go, which makes them easy to overlook at first.
3. Unexplained Nausea or Vomiting
Feeling nauseous without a clear reason, especially in the morning, can be linked to increased pressure in the brain. If nausea is persistent and not related to diet or illness, it should not be ignored.
4. Weakness or Numbness
A sudden feeling of weakness in the arms or legs, or numbness on one side of the body, can signal a neurological issue. These symptoms may start subtly and gradually worsen.
Simple tasks like holding objects or walking steadily may become more difficult.
5. Difficulty with Balance or Coordination
If you find yourself feeling unsteady, clumsy, or prone to falls, it could be related to changes in the brain. Coordination problems are often linked to tumors affecting the cerebellum or nearby areas.
6. Memory Problems or Personality Changes
Cognitive changes are often underestimated. You might notice trouble remembering things, difficulty focusing, or changes in behavior. Loved ones may even point out personality shifts before you recognize them yourself.
These changes can be subtle at first but should not be dismissed.
7. Seizures
For some people, a seizure may be the first noticeable symptom. This can happen even if you have never had seizures before. Any new seizure activity requires immediate medical attention.
When Should You See a Doctor?
It is important to be practical here. Experiencing one of these symptoms occasionally does not automatically mean a brain tumor. However, patterns matter.
You should consider seeking medical advice if:
- Symptoms persist or worsen over time
- Multiple symptoms appear together
- Changes interfere with daily activities
- You have a known history of cancer
Doctors may recommend imaging tests like MRI or CT scans to get a clearer picture.
Why Early Recognition Matters
Catching metastatic brain tumors early allows for more treatment options, including targeted therapy, radiation, or surgery in some cases. It can also help manage symptoms before they significantly impact daily life.
Early action is not about panic, it is about being informed and proactive.
Final Thoughts
Your body often gives signals when something is not right. The key is learning how to listen without jumping to conclusions. Persistent headaches, vision changes, unexplained nausea, or sudden neurological symptoms deserve attention, especially if they feel unusual for you.
If something feels off, trust your instincts and seek medical advice. Acting early can make a real difference in how the condition is managed.
Frequently Asked Questions
1. What is the first sign of a metastatic brain tumor?
The first sign varies, but persistent headaches, vision changes, or new neurological symptoms like weakness or confusion are often early indicators.
2. How quickly do symptoms develop?
Symptoms can develop gradually or appear suddenly, depending on the tumor’s size, location, and growth rate.
3. Are headaches from brain tumors different from normal headaches?
Yes, they often feel more intense, may worsen in the morning, and do not respond well to usual treatments.
4. Can metastatic brain tumors be treated?
Yes, treatment options include radiation therapy, surgery, and medications, depending on the case.
5. Should I worry if I have one symptom?
Not necessarily. Many symptoms have common causes. However, persistent or worsening symptoms should always be evaluated by a doctor.

